症例紹介
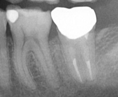
左下1番奥の歯肉が腫れて痛みが出て他院へ受診。抜歯と言われ当院へ保存できないかとのことで来院。マイクロエンド(精密根管治療)にて治癒し保存できた症例。


治療詳細
| 年代・性別 | 30代男性 |
| 主訴 | 奥歯が腫れて痛い。残せないか聞きたい |
| 治療内容 | マイクロエンド、セラミッククラウン |
| 費用 | 26.2万円 (税込)(マイクロエンド、被せ物含む) |
| 期間 | 約1ヶ月 |
| リスク・副作用 | 治療後にしっかりとメインテナンスを行わないと歯周病や虫歯になる可能性があります。 歯根の破折を起こすことがあります |
監修者情報

院長 西島 啓晃
2011年 鶴見大学歯学部卒業
2012年 博慈会記念総合病院にて研修終了
神奈川県内 総合病院 歯科・歯科口腔外科にて勤務
2017年 和田デンタルクリニック 副院長就任
昭和大学スポーツ運動科学研究所 研究生
昭和大学顎関節治療科・スポーツ歯科外来 研究生
2021年 西島デンタルクリニック開業


-3-150x150.jpg)