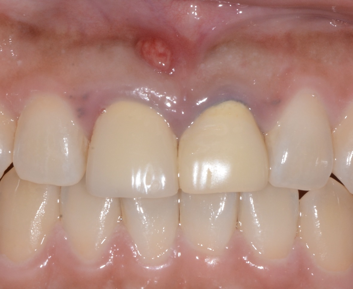
症例紹介
前歯の根が割れてしまっており、保存不可能にて抜歯を行い、反対の歯の被せ物の色も気になるとのことで被せ物をやり直しした症例


治療詳細
| 年代・性別 | 50代女性 |
| 主訴 | 前歯の歯肉にできものができた。 |
| 治療内容 | インプラント治療、セラミッククラウン |
| 費用 | 62.5万円 (税込)(インプラント+上部構造+隣の歯のクラウン) |
| 期間 | 約6ヶ月 |
| リスク・副作用 | 治療後にしっかりとメインテナンスを行わないとインプラント周囲炎になる可能性があります。 |
監修者情報

院長 西島 啓晃
- 2011年 鶴見大学歯学部卒業
- 2012年 博慈会記念総合病院にて研修終了
神奈川県内 総合病院 歯科・歯科口腔外科にて勤務 - 2017年 和田デンタルクリニック 副院長就任
昭和大学スポーツ運動科学研究所 研究生
昭和大学顎関節治療科・スポーツ歯科外来 研究生 - 2021年 西島デンタルクリニック開業

-2-150x150.jpg)



